수치과병원소개 | 手라미네이트 | 심미진료 | 치아교정 | 디지털임플란트 | 통합클리닉 | 상담&치료후기 로그인 회원가입
원데이 라미네이트무삭제 라미네이트Re 라미네이트애프터서비스10

무삭제 라미네이트

치아손상이나 마취없이 0.1mm 라미네이트를 만나보세요.

SU DENTAL HOSPITAL

무삭제 라미네이트

치아손상이나 마취없이
0.1mm 슬림한 라미네이트 팁

치아손상이나 마취없이
0.1mm 슬림한 라미네이트 팁

기존의 치아를 다듬는 일반 라미네이트와 달리, 마취와 치아 다듬는 과정 없이
이상적인 치아모양의 라미네이트 팁을 붙이는 시술방법입니다.

기존의 치아를 다듬는 일반 라미네이트와 달리,
마취와 치아 다듬는 과정 없이 이상적인 치아모양의
라미네이트 팁을 붙이는 시술방법입니다.

/_files/5WW1X4kyF.jpg /_files/5X2f2Ogzs.jpg

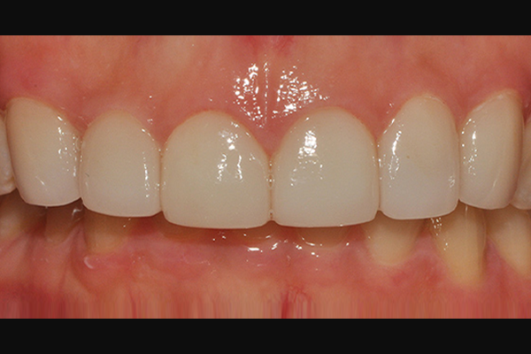
전치 4개 무삭제 라미네이트 + 원데이 치아미백

전치 4개 무삭제 라미네이트 + 원데이 치아미백

  • before

    무삭제 라미네이트 시술 전

    after

    무삭제 라미네이트 시술 후

SU DENTAL HOSPITAL

Emax Empress2 전 과정 수공제작

/_files/5WWahhDYv.jpg /_files/5WWahrtpP.png

SU DENTAL HOSPITAL

무삭제 라미네이트의 시술과정

두 번의 내원으로 완성되는 라미네이트

DAY 01. 첫 내원

치아상태 분석 후 상담, WAX UP, IMPRESSION 과정을 거친 뒤 임시치아를 부착합니다.

DAY 02. 마지막 내원 : 모양확인 후 완성

임시치아 제거 후 라미네이트 시착, 안쪽 치아 비침정도에 따라 적합한 접착제 색상 선택 후 라미네이트 팁 최종 접착합니다.

SU DENTAL HOSPITAL

무삭제 라미네이트가
가능한 경우

/_files/5WgnZ1kRp.jpg /_files/5WCa9nMJW.jpg

SU DENTAL HOSPITAL

무삭제 라미네이트, 수치과병원을 선택하는 이유

1인 1진료실 VIP룸 시스템

환자분들의 편안한 진료를 위해
모든 환자분들께 1인룸 vip 진료실을 제공합니다.

1인 1진료실 VIP룸 시스템

환자분들의 편안한 진료를 위해
모든 환자분들께 1인룸 vip 진료실을 제공합니다.

심미치료 중점병원

전치부 2만건 이상 CASE를 보유한
심미치료 중점병원 입니다.

심미치료 중점병원

전치부 2만건 이상 CASE를 보유한 심미치료 중점병원 입니다.

원내 치과기공소 보유, 전 과정 수공제작

원내 치과기공소를 보유하고 있으며 25년 경력의
수석 치아디자이너가 직접 상담하고 보철물을 제작합니다.

원내 치과기공소 보유, 전 과정 수공제작

원내 치과기공소를 보유하고 있으며 25년 경력의 수석 치아디자이너가 직접 상담하고 보철물을 제작합니다.

사후관리 애프터케어10 프로그램

보철치료 후, 6개월 정기검진 프로그램과 시술 후 1년 무상 A/S, 10년 A/S시스템으로 사후관리도 확실히 합니다.

사후관리 애프터케어10 프로그램

보철치료 후, 6개월 정기검진 프로그램과
시술 후 1년 무상 A/S, 10년 A/S시스템으로
사후관리도 확실히 합니다.

자연치아 보존, 과잉진료 금지

자연치아를 최대한 살리는 최소 치아삭제 등
과잉진료를 하지 않습니다.

자연치아 보존, 과잉진료 금지

자연치아를 최대한 살리는 최소 치아삭제 등
과잉진료를 하지 않습니다.

3중 무통마취 치료로 통증 DOWN

치과공포증 해소를 위해, 3중 무통마취시스템을 구축하여
통증을 최소화 하기위해 노력합니다.

3중 무통마취 치료로 통증 DOWN

치과공포증 해소를 위해, 3중 무통마취시스템을 구축하여
통증을 최소화 하기위해 노력합니다.

고려대학교 협력병원

고려대학교 구로병원 상호협력 지정병원으로 선정되어,
원활한 진료를 위해 상호협력합니다.

고려대학교 협력병원

고려대학교 구로병원 상호협력 지정병원으로 선정되어,
원활한 진료를 위해 상호협력합니다.

SU DENTAL HOSPITAL

무삭제 라미네이트의 치료사례

  • before

    after

  • before

    after

  • before

    after

  • before

    after

SU DENTAL HOSPITAL

애프터서비스10 프로그램

수치과병원에서 받은 라미네이트 & 심미보철치료는 1년 무상 A/S와 최대 10년 기간이 보장되는
애프터서비스 10 프로그램을 통해 라미네이트 시술 후 관리까지 책임집니다.

수치과병원에서 받은 라미네이트 & 심미보철치료는
1년 무상 A/S와 최대 10년 기간이 보장되는
애프터서비스 10 프로그램을 통해
라미네이트 시술 후 관리까지 책임집니다.

/_files/5WE-S4QmQ.jpg /_files/5WWb7G_63.jpg
상호명 : 수치과병원|주소 : 서울특별시 강남구 선릉로 823, 3층 (신사동)
대표자: 박호산|사업자번호 : 555-17-01623| Tel : 02-512-7528|Fax : 02-514-2865

Copyright © 2020 SU Dental Hospital. All Rights Reserved.

상호명 : 수치과병원|주소 : 서울특별시 강남구 선릉로 823, 3층 (신사동)
대표자: 박호산|사업자번호 : 555-17-01623| Tel : 02-512-7528|Fax : 02-514-2865

© SU Dental Hospital.

카카오상담 네이버예약 instagram blog

개인정보 수집동의 자세히보기