수치과병원소개 | 手라미네이트 | 심미진료 | 치아교정 | 디지털임플란트 | 통합클리닉 | 상담&치료후기 로그인 회원가입
원데이 라미네이트무삭제 라미네이트Re 라미네이트애프터서비스10

Re 라미네이트

오래되고 잘못된 라미네이트를 바로잡아 드립니다.

SU DENTAL HOSPITAL

Re 라미네이트란?

오래된 라미네이트, 잘못된 라미네이트
바로잡는 Re 라미네이트

잘못 시술되거나 오래되어 치아건강을 해치거나, 모양이 마음에 들지 않아 재시술을 해야할때,
문제점을 바로잡는 라미네이트 재시술을 말합니다.

잘못 시술되거나 오래되어 치아건강을 해치거나,
모양이 마음에 들지 않아 재시술을 해야할때,
문제점을 바로잡는 라미네이트 재시술을 말합니다.

SU DENTAL HOSPITAL

Re라미네이트의 재시술 포인트

현재 치아의 문제점을 정확히 파악

정확한 진단과 상담을 통해
현재 치아의 문제점을 정확하게 파악합니다.

현재 치아의 문제점을 정확히 파악

정확한 진단과 상담을 통해
현재 치아의 문제점을 정확하게 파악합니다.

과거 잘못된 시술포인트를 체크

과거 시술 전 본인이 원했던 모양과
다른 결과가 나온 것에 대한 원인을 분석합니다.

과거 잘못된 시술포인트를 체크

과거 시술 전 본인이 원했던 모양과
다른 결과가 나온 것에 대한 원인을 분석합니다.

현재 트랜드에 맞는 디자인으로 제작

현재 치아 모양에서 변화를 원하는 형태와
어울리는 모양, 트랜드 등에 맞춰 제작합니다.

현재 트랜드에 맞는 디자인으로 제작

현재 치아 모양에서 변화를 원하는 형태와
어울리는 모양, 트랜드 등에 맞춰 제작합니다.

SU DENTAL HOSPITAL

Emax Empress2 전 과정 수공제작

/_files/5WWb8s_oi.jpg /_files/5WWb8GGSC.png

SU DENTAL HOSPITAL

Re 라미네이트의 시술과정

두 번의 내원으로 완성되는 라미네이트

DAY 01. 첫 내원

현재 치아상태 문제점을 파악하고, 기존 보철물을 벗겨낸 뒤 IMPRESSION 과정 후, 임시치아를 제작합니다.

DAY 02. 마지막 내원 : 모양확인 후 완성

임시치아 제거 후 라미네이트 시착, 안쪽 치아 비침정도에 따라 적합한 접착제 색상 선택 후 라미네이트 팁 최종 접착합니다.

SU DENTAL HOSPITAL

Re라미네이트의 모양 분석

다시 라미네이트를 시술할 때에도 다양한 심미분석을 통해
내 얼굴에 최적화된 앞니를 디자인합니다.

/_files/5WjsTWZXh.jpg /_files/5X2eWhaTl.jpg

SU DENTAL HOSPITAL

Re 라미네이트의 사례별 분석

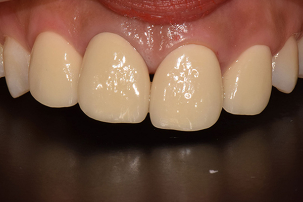
불투명한 기존 라미네이트

전치부 상악 4개 Re 라미네이트 + 원데이 치아미백

전치부 상악 4개 Re 라미네이트 + 원데이 치아미백

  • before

    Re 라미네이트 시술 전

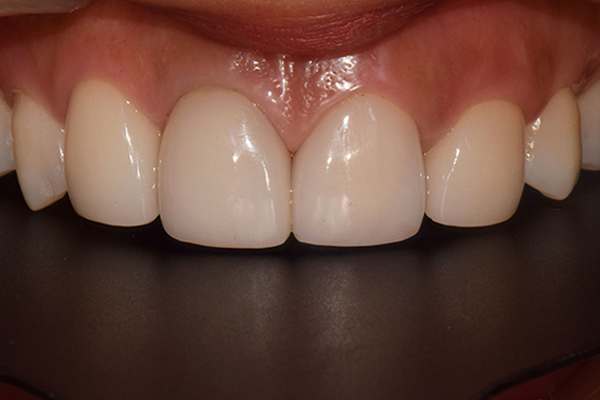
    after

    Re 라미네이트 시술 후

  • before

    Re 라미네이트 시술 전

    after

    Re 라미네이트 시술 후

Explanation
기존 오래된 라미네이트 보철물을 제거하고 앞니 기울기를 90º로 조절하였으며, 투명도가 떨어지는 보철물을 투명도가 높은 emax로 변경하여 Re라미네이트를 진행한 사례입니다.

부자연스러운 모양의 기존 라미네이트

전치부 상악 4개 Re 라미네이트 + 원데이 치아미백 + 잇몸치료

전치부 상악 4개 Re 라미네이트
+ 원데이 치아미백 + 잇몸치료

  • before

    Re 라미네이트 시술 전

    after

    Re 라미네이트 시술 후

Explanation
전치부 상악 4개 Re 라미네이트 + 원데이 치아미백 + 잇몸치료 시술을 진행하여 오래된 라미네이트를 교체함과 동시에 환자분의 요구사항에 따라 조금 더 귀엽고 동그란 형태의 치아모양으로 변경하여 재시술한 사례입니다.

전치부 상악 6개 Re 라미네이트

전치부 상악 6개 Re 라미네이트

  • before

    Re 라미네이트 시술 전

    after

    Re 라미네이트 시술 후

Explanation
기존에 과하게 하얗게 제작되고 앞으로 뻐드러진 모양의 라미네이트를 보다 자연스러운 치아각도와 U자라인으로 재시술한 사례입니다.

SU DENTAL HOSPITAL

애프터서비스10 프로그램

수치과병원에서 받은 라미네이트 & 심미보철치료는 1년 무상 A/S와 최대 10년 기간이 보장되는
애프터서비스 10 프로그램을 통해 라미네이트 시술 후 관리까지 책임집니다.

수치과병원에서 받은 라미네이트 & 심미보철치료는
1년 무상 A/S와 최대 10년 기간이 보장되는
애프터서비스 10 프로그램을 통해
라미네이트 시술 후 관리까지 책임집니다.

/_files/5WE-S4QmQ.jpg /_files/5WWb9AqRj.jpg
상호명 : 수치과병원|주소 : 서울특별시 강남구 선릉로 823, 3층 (신사동)
대표자: 박호산|사업자번호 : 555-17-01623| Tel : 02-512-7528|Fax : 02-514-2865

Copyright © 2020 SU Dental Hospital. All Rights Reserved.

상호명 : 수치과병원|주소 : 서울특별시 강남구 선릉로 823, 3층 (신사동)
대표자: 박호산|사업자번호 : 555-17-01623| Tel : 02-512-7528|Fax : 02-514-2865

© SU Dental Hospital.

카카오상담 네이버예약 instagram blog

개인정보 수집동의 자세히보기