SU DENTAL HOSPITAL
보존/충치치료
자연치아를 살려 기능을 회복하고
치아를 보호해주는 보존/충치 치료
자연치아를 살려 기능을 회복하고
치아를 보호해주는 보존/충치 치료
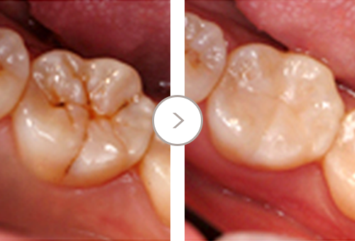
치아는 다른 신체부위와 달리 한번 망가지면 재생이 어려워, 충치가 생기면 치료하지 않는 한 회복되지 않습니다.
치료시기가 빠를수록 자연치아를 보존할 가능성이 높아지고, 치료가 진행되면 최대한 자연치아를 보존하여 치료해야합니다.
치아는 다른 신체부위와 달리 한번 망가지면 재생이 어려워,
충치가 생기면 치료하지 않는 한 회복되지 않습니다.
치료시기가 빠를수록 자연치아를 보존할 가능성이 높아지고,
치료가 진행되면 최대한 자연치아를 보존하여 치료해야합니다.




레진
치아와 유사한 색상이며, 플라스틱과 비슷한 재질로, 초기충치치료에 사용됩니다.
강도가 부족하여 힘을많이받는 면적이 넓은 부위의 충치 치료에는 제한적입니다.
세라믹
치아색 재료로 변색이 없고, 마모강도가 우수하며 재료에 따라서는 자연치아보다 강하기도 합니다.
인레이 / 크라운 / 라미네이트 치료에 사용되며, 자연치아와 가장 동일한 형태와 색을 낼 수 있으므로 심미적으로 중요한 앞니 충치치료 시 세라믹이 많이 사용됩니다. 최근에는 재료가 우수하여 어디든 사용가능합니다.
골드
치아와 비슷한 마모도를 갖고 치아에 맞는 섬세한 가공이 가능하며, 인레이/크라운 치료에 사용됩니다.
구강 내에서 부식되지 않는 등의 장점 때문에 널리 이용되는 재료 중 하나입니다. 색상때문에 전치부에는 사용이 제한되고, 최근에는 심미 때문에, 아랫니보다는 윗니에만 주로 사용됩니다.